After giving birth to my second child last year, life became overwhelmingly busy. Shower times were cut, friendships were put on hold, multitasking became a sport and any personal errands – such as haircuts and manicures – were non-existent.
A month after giving birth, I felt great and cancelled all upcoming health checks. Not only did they seem unnecessary at that point, but also an inconvenience for myself and my two children. Basically a waste of time and effort.
Instead, play dates were planned and family trips were booked to give them an unforgettable childhood they would probably forget by their next birthday. It was not until months later that I realised I had fallen into the same trap so many mothers fall into when it comes to neglecting their own health, particularly after back-to-back pregnancies.
And I should have known better. Two years ago, while working as a full-time reporter at The National, I wrote a story about this very issue.
Doctors complained that women continued to prioritise their family’s health over their own. They said it was difficult to persuade some women to return to the hospital for postnatal check-ups. Doctors warned that mothers would neglect their health to a critical degree.
Those who chose to have back-to-back pregnancies were at even greater risk. Dr Bachar Abduh, a specialist in obstetrics and gynaecology at Al Noor Hospital, said women needed a three-year gap between pregnancies for her body to fully recover. Pregnancies with a smaller gap than the three years meant a bigger strain on a mother’s body. Interviews with those mothers who chose to have children a year or less apart revealed that their health deteriorated tremendously with every pregnancy. The shorter the gap the bigger the problems.
Yet somehow all of this was forgotten when it came down to my own pregnancies. I left a mere seven-month gap between the birth of my first and the start of my second pregnancy – and then also failed to show up for my check-ups.
Being in my mid-20s convinced me that age and seemingly good health were on my side. In reality, pregnancy and birth – as incredible as they are – are taxing regardless of age and their after-effects spare no mother.
A few months after having my second child last October, I had a number of symptoms I attributed to hormone imbalance and sluggish post-partum recovery. These included hair fall, swelling and weight loss. Chronic tiredness was also a big issue but for that I had no-one to blame but my nocturnal son. However, other symptoms, such as joint pain and blurred vision, could not be explained. Still, they were not good enough reasons to warrant a visit to the doctor.
At five-months post-partum, my family started to notice my symptoms. All the house drains were blocked with my hair, I seemed to lose more weight with every meal, my swelling hands meant I could no longer open a bottle of water without asking for help from the nearest prey, and, finally, the wedding ring had to come off, something my husband took notice of rather quickly.
After several nudges with babysitting offers from family, I finally got around to seeing a doctor for a routine postnatal check in March. Since most of my symptoms were nothing out of the ordinary, I had blood work done and vitals checked. I was told to go back the following week to review the results and was handed an ultrasound referral to check my enlarged thyroid. I did neither.
After ignoring voicemails from the clinic to come back for the result, the physician called me herself. She first told me off for neglecting my checks and asked that I would come straight back in as there were a number of abnormalities in the results.
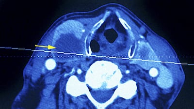
My white blood cells were high and my thyroid function was outside the normal range. A later ultrasound found a suspicious nodule in my thyroid gland and Hashimoto’s disease. A second ultrasound and biopsy found papillary carcinoma, the most common type of thyroid cancer.
Although the cancer had been growing for at least a few months, it was only now that my body had noticed and tried to attack it with white blood cells leading to the sudden spike. And as the thyroid regulates the body’s energy levels and metabolism, I had another explanation for the tiredness and weight loss that did not involve blaming my children.
Although this may seem an extreme post-partum complication, it is not uncommon. And while I will never truly know if my pregnancies had anything to do with the cancer, its timing seems to indicate that it was – particularly since research in this field has found that it is a complication in women during pregnancy and the early post-partum period.
According to a paper published in the Journal of Thyroid Research in 2011, physiological changes that occur at those times seem to be the trigger. High levels of oestrogen and the secretion of more thyroid hormones during early pregnancy create a favourable environment for tumour development.
Luckily, it is a manageable cancer and rarely requires any form of chemotherapy. My doctor joked that if I had to choose one cancer then this would be it.
Since the human body can survive without a thyroid, surgery to remove the gland – a thyroidectomy – would be needed and a hormone replacement taken daily after that to compensate. Radiotherapy may be used in treatment in some cases. But of course, as other cancers, neglected and unchecked consequences could be fatal.
I am not the first mother out there to ignore her health. Without adequate support systems to help mothers, I will not be the last, either.
Women have the tendency to conform to societal pressures to come out of the delivery room without a hair out of place and preferably in heels. Mothers are expected to bounce back after giving birth in as little time as possible. All this and the little support in many systems today with short maternity leave, inadequate childcare and cosmopolitan societies meaning few or no family members living nearby to offer help and support, rob women of their health.
More attention is needed to prevent mothers from falling into this health negligence trap. Governments should place women high on their agenda in public health and recognise the obstacles they face at home and work in reaching the proper care they need.
But more importantly, mothers must be aware of post-partum complications when they leave hospital with their newborns. They need to realise that delay in any checks could lead to irreversible complications – even if rare, no one is immune to any of them.
Ola Salem is a former political reporter at The National

